親知らずを抜く前に知っておきたいこと
今回は、親知らずを抜く前に知っておくことで役に立つ事項についてお話したいと思います。
これを知っておくことで、親知らずの抜歯のリスクを減らす事ができたり、最終的には抜歯せざるを得ない親知らずを放置したことで起こるデメリットを回避することができます。
また、歯を抜くと聞いただけでも、どうしても怖くて歯医者に足が向かないという方もいらっしゃると思いますので、当院でも行なってる静脈内鎮静法(点滴麻酔)による親知らず無痛抜歯についても簡単にお話させて頂きます。

親知らずを抜くタイミングはいつが良いのか?
基本的には、年齢や親知らずの生え方、虫歯や歯周病の有無、抜歯におけるリスクを総合的に判断し、その上で痛みがない時期に抜歯を行います。
そもそもまだ親知らずが生えていない
この場合には次の3つが考えられます。
・親知らずがそもそもない
・親知らずは口の中に見えていないが歯茎の中に隠れている
・完全に骨の中に埋まっている
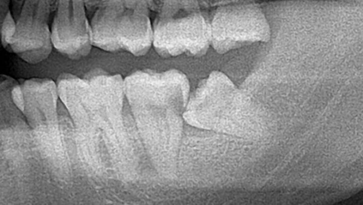
まずは、歯科受診時に歯周病や虫歯の診断の為の大きなパノラマレントゲン写真を撮る機会があると思います。
その際に親知らずの有無がわかりますので、担当の先生に親知らずの状態についても伺う事をお勧めします。
親知らずが歯茎の中に隠れている場合

今後、痛みや腫れ、隣の歯の虫歯、歯周病などを引き起こすリスクがありますので、将来の抜歯検討時の予備知識として本記事をご参考いただければと思います。
親知らずが完全に骨の中に埋まっている場合

割合としては少ないですが、親知らずが完全に骨の中に埋まっている場合には、感染のリスクが低く、痛みや腫れる可能性も低いため、現状では基本的には抜歯をする必要はないと考えます。
今後、年齢を重ねたり、矯正治療を行うことにより親知らずが出てくる場合もありますので、定期検診の際には親知らずの状態も確認しておく方が良いと思われます。
親知らずの歴史や親知らずがある事のメリット、デメリット、必要性の有無については『親知らずは必要ないの?』にて詳しくお話していますので合わせてお読み頂ければと思います。
できるかぎり若いうちに抜いておきたい
親知らずの抜歯が必要と判断された場合、抜歯のタイミングとしては若ければ若いほど望ましいといわれています。
親知らずは隣の歯に近接していることが多く、若い時に親知らずを抜いた場合には、隣の7番目の歯と元々親知らずがあった部位の骨は治癒してくるのに対し、歯周病の影響により7番目と親知らずの間の骨の改善が見られず、その部位が歯周ポケットになってしまい、将来的に7番目の歯を失う原因になります。
人生の大切なイベントの前には抜いておくと安心
妊娠・出産や大事な試験前等、人生の大切なイベントを控えている方は、腫れたり痛んだりしていなくても「もしもの場合」に備え、事前に抜歯しておくと安心して人生の大切なイベントを迎えることができるでしょう。
妊娠中に免疫力が低下する理由
妊娠中は自分の免疫力を弱めることにより、胎児を異物と判断して攻撃しないようにしていると考えられています。
また、胎児への影響も考えると痛みや腫れを抑えるための薬を飲む事を迷われる方も多いと思います。
妊娠中はホルモンバランスの変化もあり、歯肉炎や歯周病も進行しやすく、歯周病は早産や低体重児出産のリスクを高めます。
ですので、妊娠をお考えの方は歯科への早めの受診をお勧めします。
痛みがある最中は親知らずの抜歯は行わない方が良い
親知らずがズキズキ痛んでいるときは抜歯のタイミングではありません。
痛みや腫れが強いときには麻酔が効きずらかったり、正常に治癒しづらい状態のため、当日はお薬を処方して症状が落ち着くのを待ちます。
その後、痛みや腫れが落ち着いたタイミングで再度来院していただき、抜歯することになります。
一度痛み、腫れが出た親知らずは、疲れや睡眠不足などで身体の免疫力が落ちた場合に何度も腫れを繰り返し、その度に薬を飲まなければならなくなりますので、痛み、腫れが治まったタイミングでの抜歯をお勧めします。
高齢になるとリスクが増える理由
歯の周囲に存在する歯根膜という組織は年齢の増加に伴って徐々に委縮し、最終的には骨と歯がくっついてしまう場合があり、そうなると抜歯が難しくなることが多いため、診療時間が長くなったり、抜歯の際の侵襲が大きくなるなどのデメリットが増えます。
また、高齢になってくると誰しもいくつかの全身的な疾患が増えてきますので、投薬に制限がかかったり、抜歯自体に制限がかかることがあります。
後述しますが、飲んでいる薬によっては抜歯後、抜いた周りの骨が感染するリスクが増加します。
骨粗しょう症薬について
女性は特に閉経後、骨粗しょう症になりやすくなります。
整形外科などで骨粗しょう症薬の注射やお薬をもらう方が増えてきます。骨粗しょう症薬は、骨を強くする素晴らしい薬ではあるのですが、一部の骨粗しょう症薬の中には、口の中の骨に副作用をもたらす薬が存在しますので注意が必要です。
具体的にどんな副作用かというと、抜歯をしたり、感染源となりうる状態のよくない歯を残していた場合に、「骨髄炎」や「顎骨壊死」といった病気を引き起こしやすくなる、という副作用です。
骨粗しょう症薬を使用されている方すべてに当てはまるわけではありませんが、骨粗しょう症薬を使用されたことのある方は必ず歯科医師にお申し出ください。
上の親知らずの抜歯の前に知っておきたいこと
上の親知らずの痛みや腫れの傾向
個人差が有りますので全ての方に共通では有りませんが、上の親知らずは下の親知らずに比べて腫れや痛みが少ない場合が多いです。
上顎の骨は下顎と比べ骨が柔らかいため、普通に生えている上の親知らずは、適切な処置を行えば時間がかからず、抜歯後の腫れや痛みはほとんどないか、あっても軽微なことが多いです。
そのため、上の親知らずの抜歯が必要な場合には怖がりすぎずに早めの抜歯をお勧めします。
一方、下の親知らずは、歯茎を切ったり、親知らずの周りの骨の切削や歯の分割などの大掛かりな行程が必要なケースがあるため、抜歯後に腫れや痛みを生じることが多いです。
歯の移植に使える可能性もある上の親知らず
歯を失った際の治療方法のひとつに「歯の移植」がありますが、移植歯として一番用いられるのが親知らずです。
今後のブログで歯の移植については詳しくお話したいと思いますが、上の親知らずは下の親知らずに比べ悪影響がないことが多いので、可能であれば抜歯せずにきちんとケアをして残してあげる方が、将来的に役立つ場合があります。
親知らずの移植については『親知らずを再利用!歯の移植 』にて詳しくお話していますので合わせてお読み頂ければと思います。
下の親知らずの抜歯の前に知っておきたいこと
下の親知らずの痛みや腫れの傾向
下の親知らずは上の親知らずに比べ、歯の周りの骨が硬く、歯茎や骨の中に埋まっていることも多いため、場合によっては歯茎の切開、骨を削る、歯の分割などの大掛かりな行程が必要なケースがあります。
そのため、抜歯後の痛みや腫れも上の親知らずに比べ大きく、1〜2週間程症状が続くこともあります。
また、下の親知らずは抜歯後の感染やドライソケットになるリスクも高いためより注意が必要です。
抜歯後の注意点とドライソケットについては『知って安心!抜歯後の注意点とドライソケット 』にて詳しくお話していますので合わせてお読み頂ければと思います。
下歯槽神経麻痺について
下の親知らずの抜歯のリスクのひとつに「下歯槽神経の損傷」があります。
下の親知らずは個人差もありますが下歯槽神経という神経に近く、抜歯することで下歯槽神経が損傷してしまうことがあります。
下歯槽神経を損傷すると、程度にもよりますが、唇の近くの一部の顔の表面の感覚が鈍くなる、という症状がでます。
下歯槽神経は運動神経ではないため表情が歪んだり顔を動かしづらくなる、といった症状ではなくあくまで触った感覚が少し変、というような症状になります。
そのため歯科医師は、通常のレントゲンである程度の歯と神経との距離を確認し、レントゲンで見て歯と神経が近い場合や、距離関係がわかりづらい場合はCTを撮影し正確な位置を確認することがあります。
万が一下歯槽神経麻痺の症状が出てしまった場合は、神経損傷を回復させるお薬を飲んできただき経過を見ますが、経過が変わらない場合は大学病院にご紹介する場合もあります。
どうしても親知らずの抜歯が怖い場合
抜かなければいけないことは分かっているが、どうしても怖くて抜歯が出来ない方のために、眠った状態で抜歯ができる静脈内鎮静法(点滴麻酔)という方法があります。
静脈内鎮静法(点滴麻酔)を用いた親知らず無痛抜歯
親知らずの抜歯(特に下の親知らず)は大掛かりな処置になることも多いため、どうしても抜歯が怖いという方、抜歯と聞いただけで恐怖心があり、抜歯の必要性は理解しているが出来ない方などには、眠った状態で抜歯ができる静脈内鎮静法という麻酔方法を用いた親知らずの抜歯をお勧めします。
静脈内鎮静法は、半分意識がないような状態で抜歯ができるため、嘔吐反射が強い方にも有効です。
医科では胃カメラで検査を行う場合に、嘔吐反射が強い方に使用するお薬と同じお薬になります。
当院でも静脈内鎮静法(点滴麻酔)による親知らずの無痛抜歯を行う事は可能ですので、興味のある方は当院HPの無痛治療ページも合わせてご覧ください。
まとめ
今回、親知らずを抜く前に知っておきたいことについてお話させて頂きました。
少し情報量が多くなり分かりづらい点もあったかもしれませんが、今回の内容は親知らずの抜歯を控えている方だけでなく患者様皆さんに知って頂きたい内容になっております。
もし内容が難しいという方はこのブログを参考に担当医の先生に分からなかった点を聞いてみると良いかもしれません。
もちろん私にご質問頂いても構いません。
長い内容を最後まで読んで頂きありがとうございました。



